

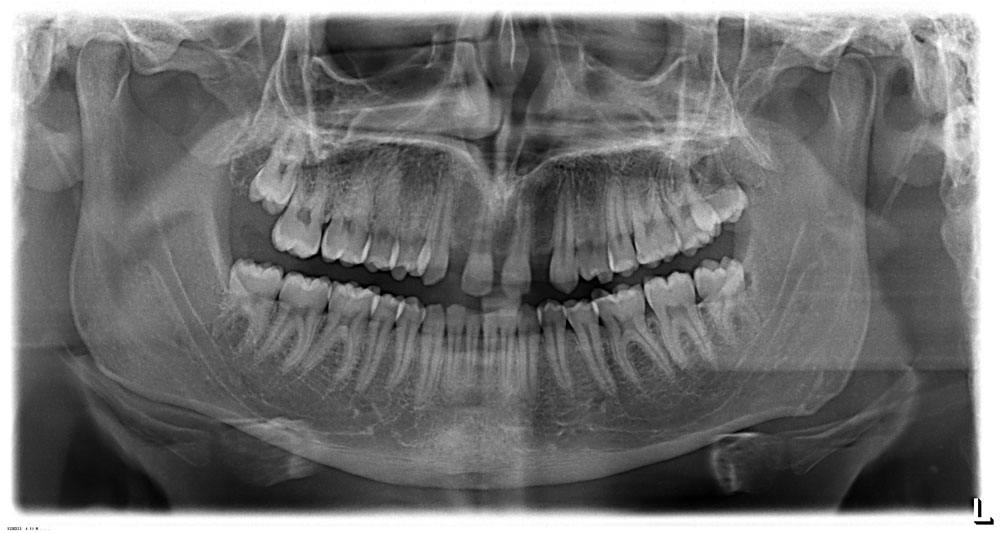
Le agenesie dentarie si diagnosticano generalmente durante gli esami radiografici di controllo effettuati nell’adolescente.
L’Ortodontista può sospettare la presenza di agenesie in caso di mancanza di eruzione di uno o più denti da latte oppure in presenza di un elemento deciduo che permane in arcata per più di sei mesi dalla perdita del corrispettivo dente da latte controlaterale.
Nei ragazzi che presentino situazioni dubbie o che abbiano familiari con agenesie, è sempre raccomandata una valutazione ortodontica.
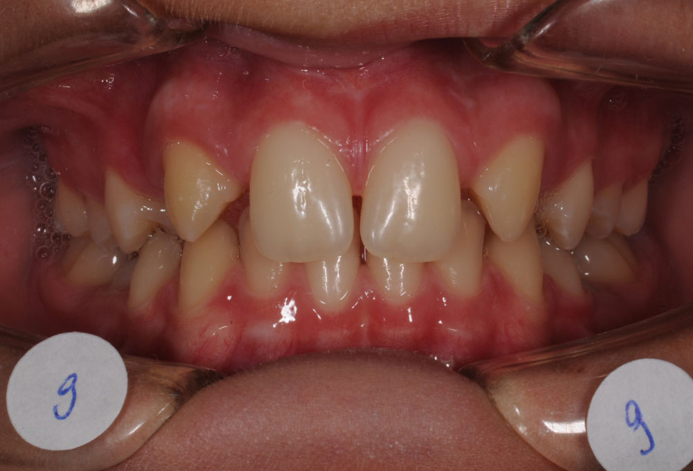
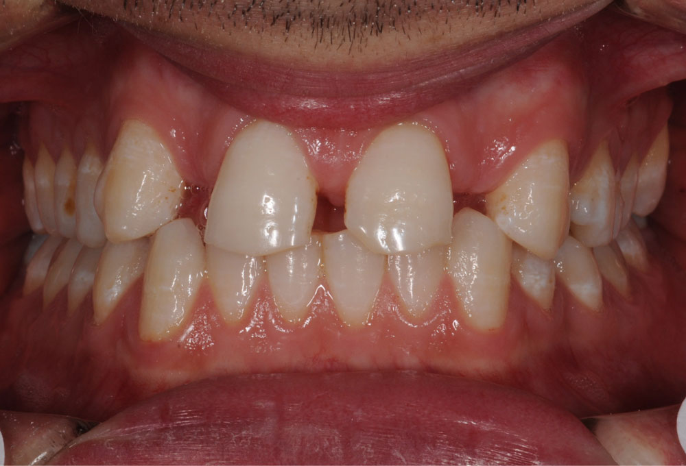
In genere le agenesie dentarie si manifestano con presenza di spazi interdentali.
Le opzioni terapeutiche ortodontiche si possono sintetizzare in:
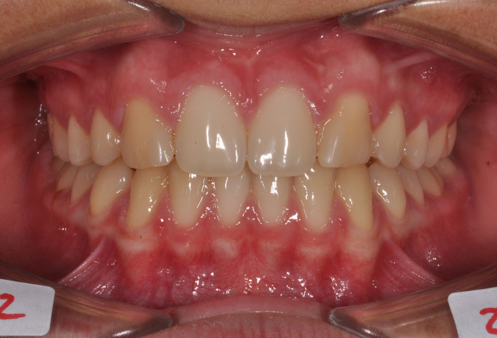
Il vantaggio principale di questa soluzione è che si può ottenere una buona estetica del sorriso e una corretta funzione masticatoria senza ricorrere a sostituzioni protesiche.
Frequentemente, in questi casi si ricorrere a una finalizzazione estetica con rimodellamento della forma di alcuni elementi dentali (camouflage), per meglio inserirli nel contesto estetico e funzionale orale.







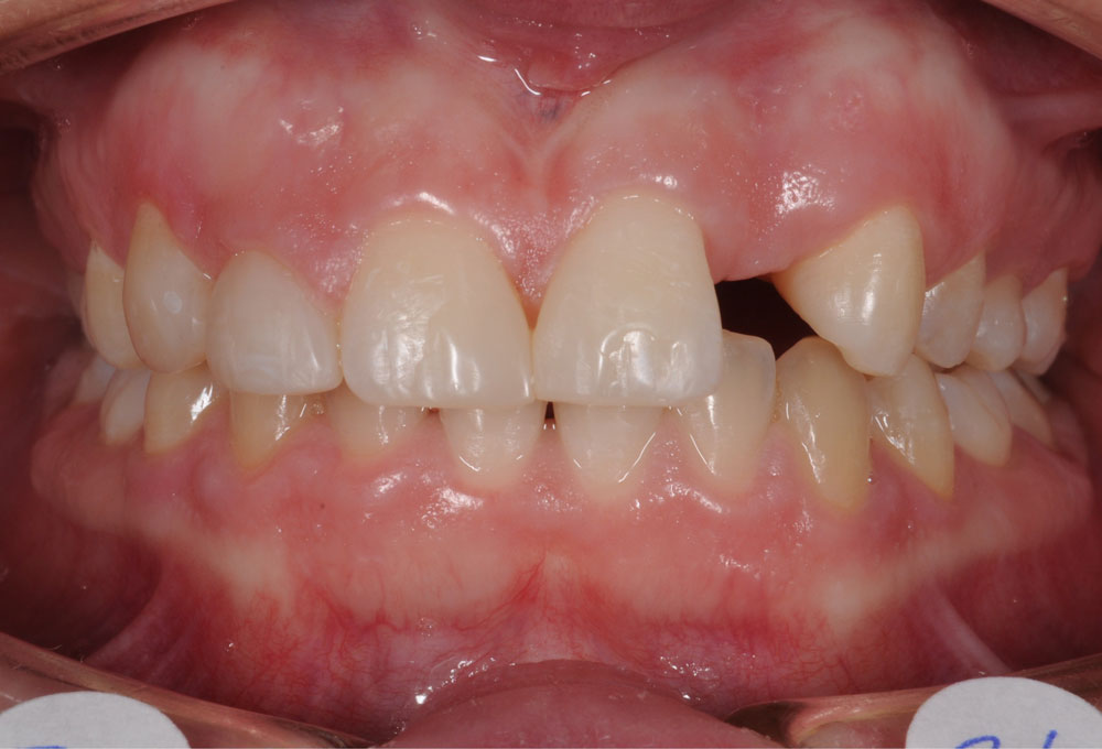
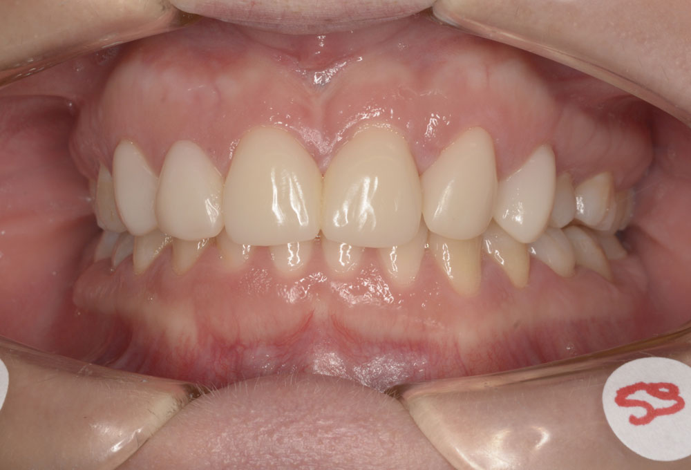
In questa terapia ortodontica si procede con il recupero dello spazio che sarebbe stato a disposizione dell’elemento del dente agenesico, al fine di una successiva sostituzione protesica dei denti mancanti.
Genericamente si ricorre a questa opzione nei casi in cui l’ingranaggio occlusale, la funzione masticatoria e l’estetica del sorriso siano già buoni.
La riapertura degli spazi viene eseguita per perfezionare le posizioni dentali e favorire la successiva riabilitazione protesica.
In questo caso, l’Ortodontista richiede la preventiva valutazione riabilitativa protesica al collega dentista, che fornirà le informazioni necessarie in merito alle future esigenze di spazio e posizione dentale per una miglior esecuzione del lavoro protesico previsto.





