Il mascellare superiore e, di conseguenza, il palato, devono presentare una larghezza sufficiente tale da consentire che la dentatura dell’arcata superiore racchiuda completamente quella inferiore, come il coperchio di una scatola.
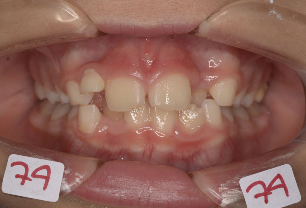
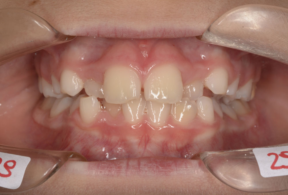
Nel bambino, quando ciò non si verifica in maniera corretta, si ha una situazione di palato stretto, come conseguenza della minor ampiezza dei diametri trasversali del mascellare superiore rispetto alla base mandibolare.
A causa di ciò, lo spazio a disposizione degli incisivi permanenti superiori è ridotto e, nei casi più gravi, nel bambino si sviluppa un morso crociato laterale monolaterale o bilaterale.


Lorem ipsum dolor



Oltre al problema di mancanza di spazio per una buona eruzione degli incisivi superiori, la riduzione della dimensione trasversale del palato del bambino può ridurre anche lo spazio a disposizione dei canini permanenti, aumentandone il rischio di inclusione palatale o di eruzione ectopica, ovvero dell’eruzione del dente in posizione differente rispetto alla normale posizione di uscita.
Nei casi di bambini con respirazione orale e posizione linguale bassa, il palato stretto non consente il corretto posizionamento linguale sulla volta del palato, rendendo difficile o addirittura impendendo la correzione della posizione linguale e rendendo difficili anche i trattamenti di rieducazione della lingua come la logopedia miofunzionale.
Nel bambino, questa condizione stabilisce frequentemente un circolo vizioso nel quale il palato stretto non consente l’ottenimento e il mantenimento del corretto posizionamento linguale, incentivando e mantenendo la respirazione orale e, alla fine della crescita facciale, instaurando una stabile e patologica riduzione dei diametri trasversali palatali.









